
Dental Crowns
Dental crowns are well-known for the protective shield they offer for teeth weakened by trauma or extensive decay.
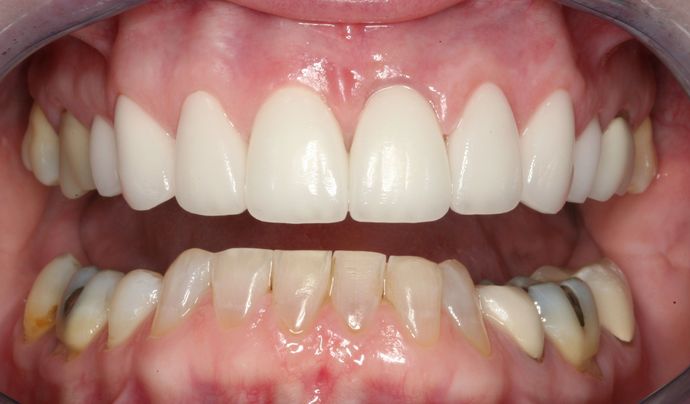
But Dr. Everett E. Heringer also uses crowns to beautifully transform smiles diminished by imperfect teeth.
Find out how strong and beautiful your teeth can be with dental crowns from Heringer Dentistry in Bismarck, ND.
Why Bismarck Chooses Us for Dental Crowns
"They say you can tell a lot about a person’s character by how they treat others. Dr. Heringer is so kind and complimentary to his staff, it made me feel good just listening to them interact. Dr. Heringer and his entire staff are highly focused on the patient from the minute you walk into the reception area until you are walking out the door. I’ve never had a more positive experience in a dental chair!" Dena Kemmet
See How a Dental Crown Is Placed
Cutting-Edge Dental Technology for Superior Patient Care
What Problems Can a Dental Crown Solve?
Crowns are a dentistry mainstay due to their versatility. They can protect a weakened tooth, as well as cosmetically transform teeth detracting from your smile. A dental crown can be used as restoration for:
Root Canals
A dental crown is typically recommended after a tooth's root canals have been treated. The crown, which completely covers the treated tooth, strengthens it and helps prevent reinfection.
Severely Decayed Teeth
When severe decay has weakened the structure of a tooth, our dentist may recommend a crown instead of a filling. Fillings only seal a cavity. They do not strengthen the tooth. A porcelain crown can provide your tooth with the support it needs and preserve the tooth structure to prevent jawbone atrophy.
Cosmetic Dentistry
If you have a tooth that is discolored or perhaps chipped or misshapen, Dr. Heringer can create a custom crown out of porcelain to mask these imperfections and give you a beautiful smile. Take a look at our Before and After Gallery to see examples of Dr. Heringer's beautiful artistry.
Missing Teeth
Dental crowns can be used in two ways when used to replace a missing tooth. They can be placed at either end of a dental bridge to support the bridge when it is attached to natural teeth. Or, when paired with a dental implant, a crown can serve as a replacement tooth. In this scenario, the dental crown is attached to a small post, the dental implant, which functions as the tooth's root.
Don't Delay Dental Crown Treatment Request a Consultation
Our dentist has expert training and decades of experience in restoring injured teeth – but no dentist can save a damaged tooth that was ignored for too long. Timely treatment is crucial for preserving your natural tooth.
You don't need to worry about a metal crown marring your smile: our porcelain crowns are natural-looking and created in a lab to match your surrounding teeth.
Restore your natural tooth with a dental crown rather than waiting to correct a missing tooth with an implant, denture, or bridge. Call our Bismarck office to request a consultation and see how a restorative dental crown can help you.
(701) 255-4850
"The best dentist and staff around!"
I have been going to Dr Heringer for years. My teeth were crumbling and cracked. We started a plan with crowning the worst teeth first. Our plan included a white smile at the end. All of the crowns were working towards that. Recently, I finally was able to do the 12 in the smile zone (6 on top and 6 on the bottom). Today my permanent crowns went in for the smile zone!! My white and straight smile has been a long time coming - it looks amazing!! So glad I did this - with the best dentist and staff around!!
View More Google ReviewsMany years ago, I was accidentally hit in my mouth with a baseball bat & it knocked 7 teeth out ( 5 permanent). Since then I have had them replaced many times (as I grew, other accidents, etc.). In 2014 I met Dr Heringer & staff & they remodeled, cleaned, strategically planned & provided me with a restored mouth & beautiful teeth. I have always smiled & laughed but now these smiles are endless & priceless! I am forever grateful to Dr. Heringer & his most competent staff.
View More Google ReviewsTechnology & Artistry Set Us Apart
Mastery
Dr. Heringer has traveled the country to train with dentistry leaders and bring those skills back home to North Dakota. Whether it's connecting with Dr. Bill Dorfman from ABC's "Extreme Makeover" or Dr. William Chen of the World Laser Clinical Institute, Dr. Heringer continually expands his dental knowledge and skills in general and laser dentistry as well as smile makeover techniques.
Advanced Technology
Dr. Heringer was the first to offer laser dentistry in the area, a move that gave patients an alternative to the traditional dental drill while offering more comfortable treatments and faster healing. For patients looking to improve their smile, the dentist can use his Waterlase® laser technology to create a more attractive gum line, further enhancing their new crown.
Top-Tier Standards
Instead of sending his dental restorations to other countries, Dr. Heringer uses top local and national dental labs. He also insists on using the best quality dental materials to create his natural-looking crowns. Even when working in top-grade material like porcelain, it still takes a master craftsman to keep dental crowns looking like natural teeth instead of Chiclets.
Insurance and Financing Accepted
/
Dental crowns, like dentures and other restorative treatments, are usually covered by insurance. We accept most insurance providers at our Bismarck dental practice. However, if you don't have insurance or your insurance doesn't cover the cost of your crown, we accept financing through CareCredit® to break the cost of treatment into manageable monthly payments.
Treatment Timeline
At our Bismarck dental practice, Dr. Heringer uses top-quality porcelain for his dental crowns to ensure they are both beautiful and strong.
Are You Ready to Fix Your Smile? Call for a Consultation
Whether you need to protect a weakened tooth or improve your smile, you can be assured that Dr. Heringer at Heringer Dentistry in Bismarck, ND, puts quality, beauty, and strength into every dental masterpiece he creates.
He has trained with dentistry experts and is a master at using the latest technology to create custom crowns that patients can rely on.
If you are dealing with a weakened tooth, it's especially important that you don't let time slip away. Each day is a new opportunity for your tooth to suffer additional damage. Call today.

Grateful Patients Share Their Stories
A few years ago I was looking for a good dentist in Bismarck North Dakota. Over a period of time I asked three people whom they would recommend. It was pretty phenomenal that of all the dentists in Bismarck, all three strongly recommended Dr. Everett Heringer. All of my experiences at Heringer dental have been very positive. I have had major excellent dental work done by Dr Heringer. I am so appreciative of Dr. Heringer’s and his staff’s work.
View on GoogleGrowing up I had been so self conscious about my smile. After hearing about and seeing the amazing work Dr. Heringer did on my cousin's teeth I couldn't wait to make an appointment with him. My whole experience here over the years made me realize that I wanted to help people feel better about themselves and become more self confident through their smiles ... I am forever grateful for what Dr. Heringer and his amazing staff have done for me by changing my life through my smile and helping me realize my passion.
View More Google ReviewsDr. Heringer & Patient Discuss Dental Crowns Options
Dental Crown FAQ
Does getting a dental crown hurt?
You will receive local anesthesia to allow your dentist to reshape the tooth and fit your dental crown with virtually no discomfort. If you feel pain at any time during treatment, please let Dr. Heringer know so he can make adjustments to keep you comfortable.
Will insurance cover my crown?
This depends entirely on the provider and plan you have, but most insurance plans cover at least a portion of the costs. We accept most insurance providers at our Bismarck dental practice, and we will help you determine if your insurance will cover your crown before your treatment. We are glad to work directly with your provider in order to secure the best possible coverage of your dental care.
Why not just pull a damaged or decayed tooth?
When it comes to the health of your smile, there is nothing better than natural dental tissue, so saving the tooth is always the top priority. Even a single missing tooth can cause the jawbone to atrophy as it loses the stimulation that the tooth root once provided. This can lead to further tooth loss and other oral health issues. A dental crown allows your dentist to preserve your tooth structure, preventing the need for dental implants or bone grafting later. Extraction is only considered if the damage or decay is too extensive to repair.
Will my crown match my natural teeth?
Yes. Porcelain can be shade-matched to blend with your natural teeth for a beautiful cosmetic result. Dr. Heringer prides himself on a uniquely artistic and compassionate approach, meaning you will not only receive personable and caring dental treatment, but also leave our office with a beautiful smile. Often, patients combine their dental crown treatment with other cosmetic procedures such as teeth whitening to brighten and transform their smile.
How long will my crown last?
With proper care, dental crowns last about 10 years or longer. Over time, the porcelain will wear and require replacement, but if you follow your dentist's instructions, you can expect many years of benefits from your crown.
Should I avoid certain foods after getting a crown?
Very sticky foods such as caramel and hard foods such as ice can damage your dental crown. We suggest avoiding these kinds of foods or taking care not to use your crowned teeth to chew them. Although your crown won't be as prone to stains as your natural teeth, it's best to limit things like red wine and marinara sauce, and avoid tobacco altogether.
Bismarck Patients Love Our Team
Every time I have a gone to the Herringer dentist office the staff has been professional and treated me with courtesy.
View on GoogleAfter what seemed like a lifetime of searching for my perfect smile, Dr. Heringer gave me just that and then some.
View on Google
















